
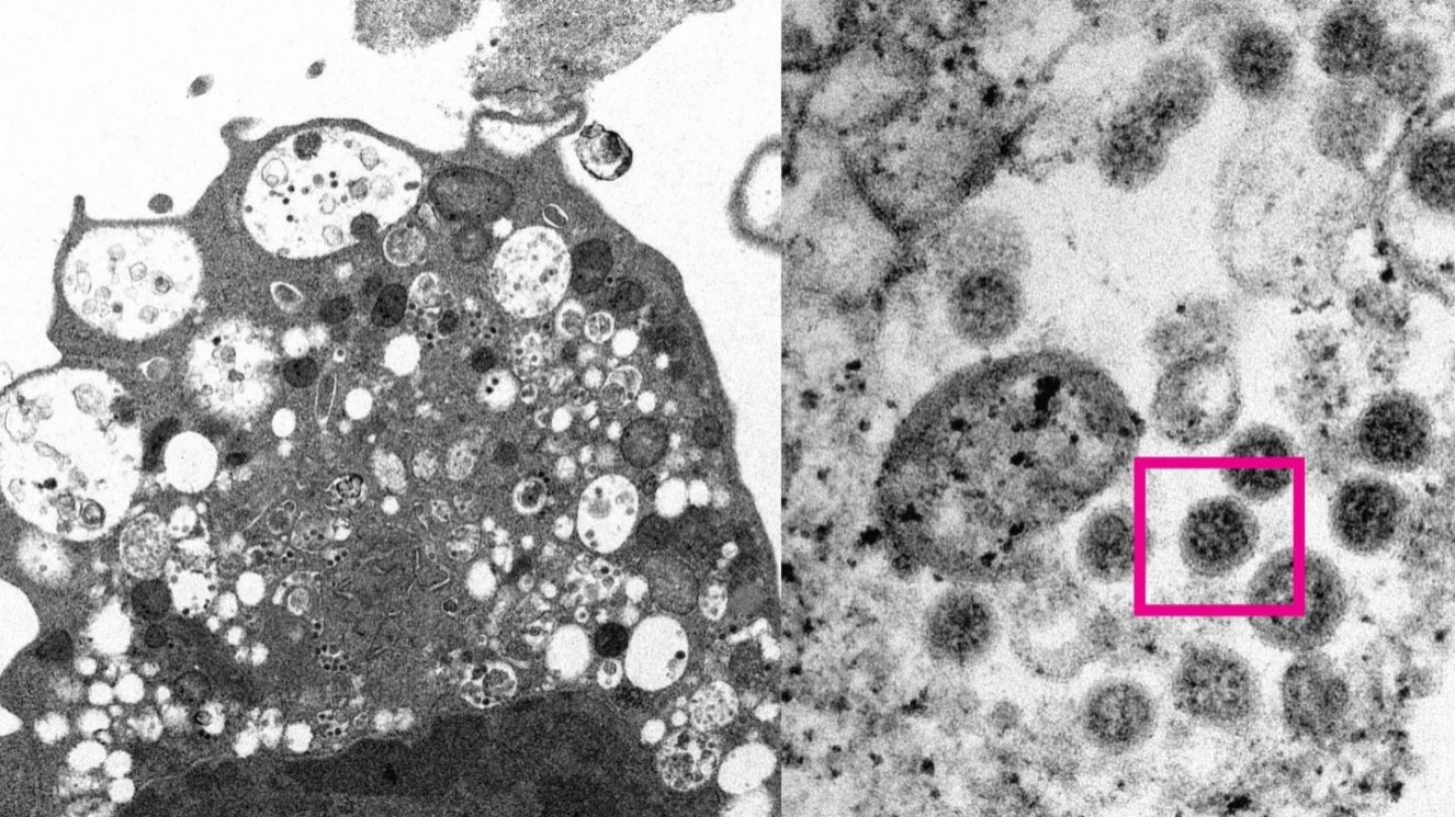
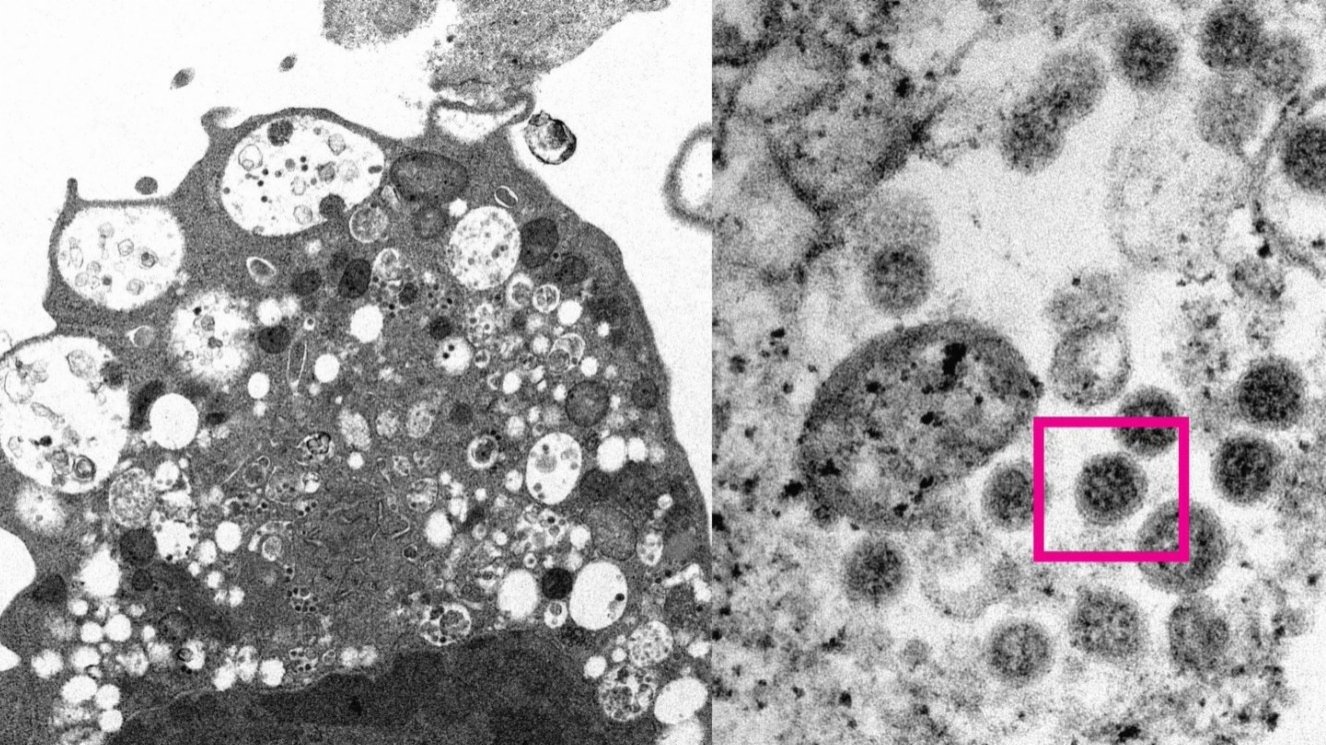
因應全球最新新冠疫情發展,政府將由12月21日凌晨零時起對曾逗留英國(現時為A組指明地區)的抵港人士實施「加強監測A組地區」措施,以及由12月23日凌晨零時起指明秘魯為A組指明地區,以收緊相關抵港人士的登機及檢疫要求。
政府今日(20日)公布,鑑於全球疫情因Omicron變異病毒株急速惡化,將採取一系列措施以進一步加強「外防輸入」,包括:
(1)由即日起收緊航班「熔斷機制」,除原有熔斷條件外,如一條航線七7天內有4名或以上乘客抵港時確診,該航線須熔斷14天;
(2)由12月24日起,所有地區來港人士登機來港前須進行的核酸檢測,採樣時限由72小時縮短至48小時;
(3)由12月21日起從「加強監測A組地區」抵港人士抵港首4天須在檢疫中心強制檢疫,抵港首7天須每天接受檢測,其後檢疫期間須隔天接受檢測。
此外,因應全球最新新冠疫情發展,政府將由12月21日凌晨零時起對曾逗留英國(現時為A組指明地區)的抵港人士實施「加強監測A組地區」措施,以及由12月23日凌晨零時起指明秘魯為A組指明地區,以收緊相關抵港人士的登機及檢疫要求。
收緊民航客機「熔斷機制」
民航客機「熔斷機制」旨在減低輸入個案的機會。由於全球疫情肆虐,輸入個案數字持續上升,為進一步減低輸入個案的機會,由即日起收緊以下禁止個別航班着陸香港的指標:
(1)相同航空公司從同一地點抵港的民航客機上,在7天內累計共有4名或以上的乘客經抵港檢測而確診(原有熔斷指標為從同一地點抵港的兩班民航客機各有兩名或以上乘客抵港檢測確診);
另外兩項熔斷條件指標則繼續有效:
(2)同一班抵港民航客機上有3名或以上的乘客經抵港檢測而確診;或
(3)一班抵港民航客機上有1名或以上的乘客經抵港檢測而確診,以及有1名或以上的乘客未能符合《預防及控制疾病(規管跨境交通工具及到港者)規例》(第599H章)下指明的條件。
在航班「熔斷機制」下,相關航空公司從同一地點抵港的民航客機將被禁止着陸香港14天。
收緊登機前核酸檢測時限
全球疫情持續反彈,更高傳播力的Omicron變異病毒株迅速蔓延,為進一步減低輸入風險,所有地區來港人士登機來港前須進行聚合酶連鎖反應(PCR)核酸檢測,採樣時限將縮短至預定起飛時間前48小時(原為72小時)。所有於香港時間12月24日凌晨零時或之後登機來港的人士(包括經香港轉機或過境的旅客),必須在登機來港時出示預定起飛時間前48小時內採樣進行的PCR核酸檢測陰性結果證明。
「加強監測A組地區」
政府因應Omicron個案,自11月28日起對個別A組地區實施加強監測,除原有非香港居民不得來港及香港居民必須已接種疫苗等要求外,曾逗留「加強監測A組地區」的抵港人士亦必須接受更嚴謹的檢疫及檢測安排,包括須先到竹篙灣檢疫中心進行7天強制檢疫,其間須每天進行病毒檢測,並由醫護人員監察該人士的健康狀況,並於抵港第8天由專車送到已預訂的指定檢疫酒店完成餘下的14天強制檢疫。
經過觀察,至今所有本港Omicron輸入個案,均在抵港檢測或抵港後首3天內檢測所發現。為善用最高規格的竹篙灣檢疫中心檢疫設施,政府將於12月21日起,調整「加強監測A組地區」的檢疫安排,曾於21天內逗留「加強監測A組地區」的抵港香港居民,須先到竹篙灣檢疫中心進行4天強制檢疫,其間每天進行病毒檢測,並由醫護人員監察其健康狀況。有關人士其後會於抵港第5天由專車送到來港前已預訂的指定檢疫酒店完成餘下的17天強制檢疫。
與此同時,所有曾逗留「加強監測A組地區」的抵港人士,抵港首七天不論身處檢疫中心或指定檢疫酒店檢疫均必須每天接受檢測,其後14天檢疫期必須隔天接受檢測(即抵港後第九天、第11天、第13天、第15天、第17天及第19天),連同抵港時於機場接受「檢測待行」,及於抵港第26天到社區檢測中心接受強制檢測,相關人士合共須接受14次檢測,以杜絕漏網之魚。
經調整後的「加強監測A組地區」檢疫安排下,由香港時間12月21日凌晨零時或之後登機來港並曾逗留「加強監測A組地區」的香港居民,在登機時須出示的文件要求將更新如下:
(1)認可疫苗接種紀錄;
(2)預定起飛時間前72小時內(12月23日或之前)或48小時內(12月24日起)採樣進行的PCR核酸檢測陰性結果證明;及
(3)指定檢疫酒店預訂房間的確認書,租住期為抵達香港的第5日起計不少於17晚。
政府會就上述調整設立七天過渡期,在12月21日至12月27日的過渡期內,如相關來港人士登機來港時所持的指定檢疫酒店預訂房間確認書上所列的租住期為抵達香港的第八日起計不少於14晚(即現有要求),亦可獲准登機來港。相關人士抵港後將按現有安排先在竹篙灣檢疫中心強制檢疫7天,如能確認預訂原有指定檢疫酒店在抵港第5天至第7天的房間,則可在抵港第5天由專車送到該指定檢疫酒店完成餘下17天的強制檢疫。由12月28日起,來港人士所持的指定檢疫酒店預訂房間確認書必須為更新安排下要求的租住期,即為抵達香港的第5日起計不少於17晚。
收緊發現及輸入Omicron個案地區的登機及檢疫要求
為應對及防範Omicron個案的輸入風險,政府將繼續採取至為嚴謹的「外防輸入」措施,將發現有Omicron個案,並有可能導致當地傳播及輸出個案的海外地區,指明為A組指明地區;同時亦會密切監察相關海外地區Omicron個案有否廣泛傳播,包括對發現有從當地來港的Omicron輸入個案的A組指明地區,實施前述更為嚴謹的加強監測措施(「加強監測A組地區」)。
因應早前發現兩宗由英國輸入香港的Omicron個案,政府將對12月21日凌晨零時或之後由英國抵港的有關人士,實施上述經調整的「加強監測A組地區」檢疫及檢測安排。此項檢疫及檢測安排現時已適用於從安哥拉、博茨瓦納、斯威士蘭、埃塞俄比亞、萊索托、馬拉維、莫桑比克、納米比亞、尼日利亞、南非、美國、贊比亞和津巴布韋抵港的人士。
因應秘魯確認發現Omicron個案,政府會將該地區指明為A組指明地區,12月23日凌晨零時生效。於21天內曾逗留當地的非香港居民不准入境。香港居民必須已完成疫苗接種並持認可疫苗接種紀錄方可登機回港。他們抵港後須於指定檢疫酒店接受21天強制檢疫,其間接受6次檢測,並須於抵港第26天到社區檢測中心接受強制檢測。
責任編輯: 張岩